Zartner P, Anelli-Monti M, Beitzke A, Gamillscheg A Digitale Herzschrittmacher in der Kinderkardiologie Journal für Kardiologie - Austrian Journal of Cardiology 2004; 11 (1-2): 53-56 Volltext (PDF) Summary Übersicht | ||||||||||||
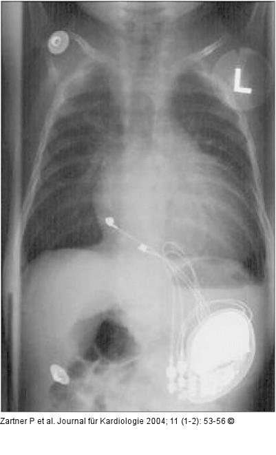
Abbildung 1: Herzschrittmacher - Kinderkardiologie Größenverhältnis eines Zweikammerschrittmachers mit unipolaren epikardialen Elektroden bei einem 3 Monate alten Säugling. Der Patient hatte nach einer Korrektur eines AV-Kanals einen kompletten AV-Block behalten. 4 Monate später kam es zur Perforation der Schrittmachertasche. Bei einem Gewicht von weniger als 10 kg wurde erfolgreich ein transvenöses bipolares Zweikammerschrittmachersystem implantiert. |
Abbildung 1: Herzschrittmacher - Kinderkardiologie
Größenverhältnis eines Zweikammerschrittmachers mit unipolaren epikardialen Elektroden bei einem 3 Monate alten Säugling. Der Patient hatte nach einer Korrektur eines AV-Kanals einen kompletten AV-Block behalten. 4 Monate später kam es zur Perforation der Schrittmachertasche. Bei einem Gewicht von weniger als 10 kg wurde erfolgreich ein transvenöses bipolares Zweikammerschrittmachersystem implantiert. |
