Verlag für Medizin und Wirtschaft
Artikel
Bilder
Volltext
Mobile Version
A-
|
A
|
A+
Werbung
Abo
Bestellung Jahresabonnement (Print/elektronisch)
Bestellung kostenloses e-Journal-Abo
Mediadaten
Journale
News
Datenbanken
Suche Medizinische Publikationen
Suche Abbildungen und Grafiken
Medizinprodukte - Labortechnik
Antidotarium (Stand 2012)
Phytokodex (Stand 2012)
Fortbildung
Bücher
Fachbücher
Patientenliteratur
Impressum
Offenlegung
Kontakt
Disclaimers & Copyright
Allgemeine Geschäftsbedingungen
Datenschutzerklärung
Sitemap
Abbildungen und Graphiken
Da Fonseca K et al.
Kyphoplastie mit "Biozement"
Journal für Mineralstoffwechsel & Muskuloskelettale Erkrankungen 2004; 11 (Sonderheft 1)
: 16-19
Volltext (PDF)
Summary
Abbildungen
Abbildung
Vollbildansicht
Kyphoplastie
Abbildung 1: Calcibon (R) Puder und Flüssigkeit
Keywords:
Calcibon
,
Kyphoplastie
,
Mineralstoffwechsel
,
Zement
Vollbildansicht
Kyphoplastie
Abbildung 2: Nach 6 Stunden Aushärtezeit erreicht der Zement die Festigkeit trabekulären Knochens
Keywords:
Calcibon
,
Diagramm
,
Kyphoplastie
,
Mineralstoffwechsel
,
Zement
Vollbildansicht
Kyphoplastie
Abbildung 3: Schmerzverlauf nach Kyphoplastie (Legende: Skala 0-100, 100 = beste Befindlichkeit, kein Schmerz, 0 = unerträgliche Schmerzen)
Keywords:
Diagramm
,
Kyphoplastie
,
Mineralstoffwechsel
,
Schmerz
,
VAS-Score
,
Visuelle Analog Skala
Vollbildansicht
Kyphoplastie
Abbildung 4: 3 Deckplatteneinbrüche am thorakolumbalen Übergang bei einem 40jährigen Patienten nach Sportunfall vor und nach Kyphoplastie
Keywords:
Fraktur
,
Kyphoplastie
,
Mineralstoffwechsel
,
Röntgenbild
,
Wirbelsäule
Vollbildansicht
Kyphoplastie
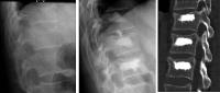
Abbildung 5: Traumatische instabile LWK1-Fraktur bei einem 20jährigen nach Trauma. Gute Wiederherstellung der Wirbelkörperhöhe nach Fixateur interne und additiver Kyphoplastie.
Keywords:
Fraktur
,
Kyphoplastie
,
Mineralstoffwechsel
,
Röntgenbild
,
Wirbelsäule
copyright © 2000–2026
Krause & Pachernegg GmbH
|
Sitemap
|
Datenschutz
|
Impressum
Werbung