Krause und Pachernegg
Verlag für Medizin und Wirtschaft
Artikel   Bilder   Volltext

Mobile Version
A-  |   A  |   A+
Werbung
 
Abbildungen und Graphiken
Ive-Schappelwein H  
Der Hydrozephalus des Erwachsenen - ein Mysterium

Journal für Neurologie, Neurochirurgie und Psychiatrie 2004; 5 (1): 17-23

Volltext (PDF)    Summary    Abbildungen   


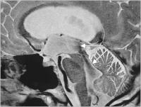
Abbildung
 
Hydrozephalus beim Erwachsenen
Abbildung 1: Das "flow void sign" ist bei Hydrozephaluspatienten meist sehr imponierend und reicht oft weit in den 3. und 4. Ventrikel (Pfeile) hinein. Als Ursache wird der pulsatile Liquorfluß angesehen. Einige Arbeitsgruppen versuchten, diese Ausdehnung zu quantifizieren, und leiteten daraus ein Ansprechen oder Nichtansprechen auf eine Shuntoperation ab.


Keywords: flow void signLiquorMagnetresonanztomographieNeurochirurgieShunt-Operation
 
 
Hydrozephalus beim Erwachsenen
Abbildung 2: "Flow void-Phänomen" im Bereich des Bodens des 3. Ventrikels (T1-gewichtete sagittale Dünnschichten). Es dient zum Nachweis eines offenen Ventrikulozisternostomiestomas. Ein "subtiles" flow void sign sollte nicht als sicherer Nachweis angesehen werden, da es sich dabei auch um Turbulenzen handeln kann, welche häufig bei einem Aquäduktverschluß zu sehen sind. Mehr Klarheit bringt in solchen Fällen die Quantifizierung des Liquorflusses.


Keywords: flow void signMagnetresonanztomographieNeurochirurgieVentrikelVentrikulozisternostomiestoma
 
 
Hydrozephalus beim Erwachsenen
Abbildung 3: 2-D phase contrast (PC) cine-Sequenz (Gradienten-Echo T2-gewichtet). Aus 15–20 Bildern pro Herzzyklus entsteht ein MR-"Film". Diese Technik erlaubt einen wesentlich besseren Nachweis eines Flußsignals im Aquädukt oder am Boden des 3. Ventrikels nach einer endoskopischen Ventrikulozisternostomie.


Keywords: AquäduktLiquorLiquorflussMagnetresonanztomographieNeurochirurgieVentrikelVentrikulozisternostomie
 
 
Hydrozephalus beim Erwachsenen
Abbildung 4a-c: a: PC cine-Sequenz zum Flußnachweis im Aquädukt. Punktiert die Lage der axialen Schichtführung zur quantitativen Flußmessung. b, c: Durch den Einsatz einer "region of interest (ROI)" können in einer axialen Schicht das Liquorflußvolumen und die Liquorflußgeschwindigkeit ermittelt werden. Durch die Verschachtelung mit einem EKG (cardiac gated) werden Liquorsystole und -diastole bestimmt.


Keywords: AquäduktdiastoleEKGElektrokardiographieLiquorflussMagnetresonanztomographieNeurochirurgieSystole
 
 
Liquorflußmessung
Abbildung 5a-b: a: Die quantitative Liquorflußmessung ergibt bei einem ungestörten Fluß eine sinusförmige Kurve. Oberhalb der Null-Linie wird die systolische (kranio-kaudale) und unterhalb die diastolische (kaudokraniale) maximale Flußgeschwindigkeit in cm/s (peak flow velocity) oder das maximale Flußvolumen (peak flow) in ml/s angezeigt. b: Ein typisches Bild eines turbulenten Flusses bei einem Aquäduktverschluß.


Keywords: AquäduktDiagrammLiquorLiquorflussNeurochirurgieVerschluss
 
 
 
copyright © 2000–2026 Krause & Pachernegg GmbH | Sitemap | Datenschutz | Impressum
 
Werbung