| Ebner T et al. | ||||||||||||||||||||||||||||||||||||||||||||||||||||||||||
|---|---|---|---|---|---|---|---|---|---|---|---|---|---|---|---|---|---|---|---|---|---|---|---|---|---|---|---|---|---|---|---|---|---|---|---|---|---|---|---|---|---|---|---|---|---|---|---|---|---|---|---|---|---|---|---|---|---|---|
|
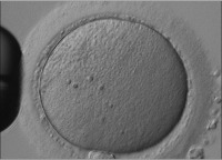
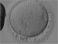
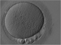
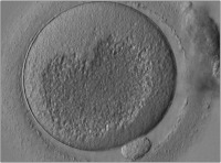
Die Bedeutung der Morphologie der Oozyte hinsichtlich ihres weiteren Entwicklungspotentials
Journal für Reproduktionsmedizin und Endokrinologie - Journal of Reproductive Medicine and Endocrinology 2006; 3 (1): 17-23 Volltext (PDF) Summary Abbildungen
|
||||||||||||||||||||||||||||||||||||||||||||||||||||||||||
