Verlag für Medizin und Wirtschaft
Artikel
Bilder
Volltext
Mobile Version
A-
|
A
|
A+
Werbung
Abo
Bestellung Jahresabonnement (Print/elektronisch)
Bestellung kostenloses e-Journal-Abo
Mediadaten
Journale
News
Datenbanken
Suche Medizinische Publikationen
Suche Abbildungen und Grafiken
Medizinprodukte - Labortechnik
Antidotarium (Stand 2012)
Phytokodex (Stand 2012)
Fortbildung
Bücher
Fachbücher
Patientenliteratur
Impressum
Offenlegung
Kontakt
Disclaimers & Copyright
Allgemeine Geschäftsbedingungen
Datenschutzerklärung
Sitemap
Abbildungen und Graphiken
Gröchenig HP et al.
Fallbericht: 59jähriger Patient mit respiratorischer Partialinsuffizienz und arterieller Hypertonie
Journal für Kardiologie - Austrian Journal of Cardiology 2007; 14 (11-12)
: 335-337
Volltext (PDF)
Abbildungen
Abbildung
Vollbildansicht
EKG
Abbildung 1: Aufnahme-EKG
Keywords:
EKG
,
Fallbericht
,
Kardiologie
Vollbildansicht
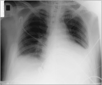
Thoraxröntgen
Abbildung 2: Thoraxröntgen vor Drainage
Keywords:
Kardiologie
,
Röntgenbild
,
Thorax
Vollbildansicht
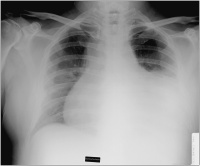
Thoraxröntgen
Abbildung 3: Thoraxröntgen nach Drainage
Keywords:
Kardiologie
,
Röntgenbild
,
Thorax
copyright © 2000–2026
Krause & Pachernegg GmbH
|
Sitemap
|
Datenschutz
|
Impressum
Werbung