Gröchenig HP, Eller P, Grander W Fallbericht: 59jähriger Patient mit respiratorischer Partialinsuffizienz und arterieller Hypertonie Journal für Kardiologie - Austrian Journal of Cardiology 2007; 14 (11-12): 335-337 Volltext (PDF) Übersicht | ||||||
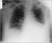
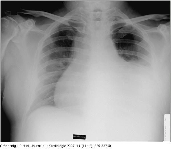
Abbildung 2: Thoraxröntgen Thoraxröntgen vor Drainage |
