Verlag für Medizin und Wirtschaft
Artikel
Bilder
Volltext
Mobile Version
A-
|
A
|
A+
Werbung
Abo
Bestellung Jahresabonnement (Print/elektronisch)
Bestellung kostenloses e-Journal-Abo
Mediadaten
Journale
News
Datenbanken
Suche Medizinische Publikationen
Suche Abbildungen und Grafiken
Medizinprodukte - Labortechnik
Antidotarium (Stand 2012)
Phytokodex (Stand 2012)
Fortbildung
Bücher
Fachbücher
Patientenliteratur
Impressum
Offenlegung
Kontakt
Disclaimers & Copyright
Allgemeine Geschäftsbedingungen
Datenschutzerklärung
Sitemap
Abbildungen und Graphiken
Knapitsch E et al.
Fossa Posterior-Syndrom: Cerebellärer Mutismus nach Kleinhirnblutung - Fallbericht und Literaturübersicht
Journal für Neurologie, Neurochirurgie und Psychiatrie 2008; 9 (2)
: 38-42
Volltext (PDF)
Abbildungen
Abbildung
Vollbildansicht
FPS
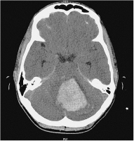
Abbildung 1: Kranielle Computertomographie (CCT): linkscerebelläre Blutung (Durchmesser 5 cm)
Keywords:
CCT
,
FPS
Vollbildansicht
FPS
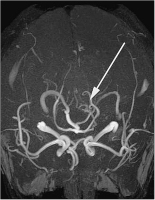
Abbildung 2: Initiale Magnetresonanzangiographie (MRA): Hinweis auf eine arteriovenöse Malformation (AVM) der Arteria cerebelli superior links.
Keywords:
FPS
,
MRA
Vollbildansicht
FPS
Abbildung 3: Transfemorale cerebrale Panangiographie am 8. postoperativen Tag: Initialer Verdacht auf arteriovenöse Malformation (AVM) bestätigt.
Keywords:
FPS
,
Panangiographie
Vollbildansicht
FPS
Abbildung 4: Positronen-Emissions-Tomographie (PET) nach i.v.-Applikation von 370 MBq 18F-Fluor-Deoxyglykose (FDG): Substanzdefekt linkscerebellär.
Keywords:
FPS
,
PET
Vollbildansicht
FPS
Abbildung 5: Single Photon Emission Computed Tomography- (SPECT-) Szintigraphie des Gehirns 10 min. nach i.v.-Applikation von 555 MBq 99m-Tc- NEUROLITE): Inhomogen abgeschwächte Anreicherung am Großhirnkortex beidseits.
Keywords:
FPS
,
SPECT-Szintigraphie
Vollbildansicht
FPS
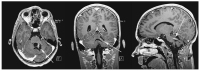
Abbildung 6: Magnetresonanztomographie-(MRT-) Kontrolle nach 6 Monaten: Nach Blutungsresorption arteriovenöse Malformation (AVM) sichtbar
Keywords:
FPS
,
MRT
copyright © 2000–2026
Krause & Pachernegg GmbH
|
Sitemap
|
Datenschutz
|
Impressum
Werbung