Knapitsch E, Hamberger M, Nussbaumer K, Narovec T, Haring H-P, Pichler R, Aichner F Fossa Posterior-Syndrom: Cerebellärer Mutismus nach Kleinhirnblutung - Fallbericht und Literaturübersicht Journal für Neurologie, Neurochirurgie und Psychiatrie 2008; 9 (2): 38-42 Volltext (PDF) Übersicht | ||||||||||||
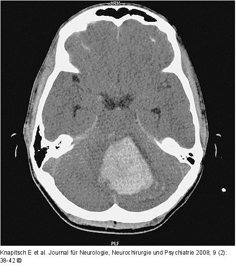
Abbildung 1: FPS Kranielle Computertomographie (CCT): linkscerebelläre Blutung (Durchmesser 5 cm) |
Abbildung 1: FPS
Kranielle Computertomographie (CCT): linkscerebelläre Blutung (Durchmesser 5 cm) |
