Krause und Pachernegg
Verlag für Medizin und Wirtschaft
Artikel   Bilder   Volltext

Mobile Version
A-  |   A  |   A+
Werbung
 
Abbildungen und Graphiken
Gruber A et al.  
Mediainfarkt und Kraniektomie. Derzeitige Studienlage, Operationsindikationen und organisatorische Aspekte

Journal für Neurologie, Neurochirurgie und Psychiatrie 2008; 9 (4): 12-19

Volltext (PDF)    Summary    Praxisrelevanz    Abbildungen   


Abbildung
 
Hemikraniektomie
Abbildung 1: Die der dekompressiven Hemikraniektomie bei malignem Mediainfarkt zugrundeliegenden pathophysiologischen Überlegungen und wesentliche chirurgischtechnische Aspekte sind schematisch zusammengefasst. In fortgeschrittenen Stadien des raumfordernden Mediainfarkts tragen 2 Faktoren wesentlich zur lebensbedrohlichen klinisch-neurologischen Verschlechterung bei: (1) Dekompensation der intrakraniellen Druck-Volumenbeziehung mit globaler Hirndrucksteigerung und kritischer Reduktion des zerebralen Perfusionsdrucks. (2) Axiale Hirnstammkompression durch ischämische Schwellung des supratentoriellen Parenchyms, in späteren Stadien transtentorielle Herniation temporomesialer Parenchymbezirke. Die Ziele der dekompressiven Hemikraniektomie sind (1) adäquate Hirndrucksenkung durch großflächige Dekompression der Hemisphäre und (2) suffiziente axiale Hirnstammdekompression durch temporale knöcherne und durale Entlastung. Durch die fokal raumfordernde Wirkung des ischämisch geschwollenen Infarktareals kommt es zu Parenchymshifts, die zu axialer Hirnstammkompression und in fortgeschrittenen Stadien zur Herniation führen können. Durch rechtzeitige suffiziente knöcherne und durale temporobasale Entlastung ist eine axiale Dekompression des verlagerten Hirnstamms (a, b) und Rückbildung der temporomesialen Herniationszeichen (c, d) zu erreichen. Bei einem raumfordernden Territorialinfarkt der Arteria cerebri media mit globaler Hirndrucksteigerung und deutlicher Mittellinienverlagerung (e) kann durch großflächige Entlastungskraniotomie eine suffiziente Dekompression der Hemisphäre mit deutlicher Senkung des intrakraniellen Drucks und Rückbildung der Mittellinienverlagerung erzielt werden (f). Vor dem Hintergrund der exponentiellen intrakraniellen Druck-Volumenbeziehung ist eine rasche Dekompensation im Vorfeld der Operation möglich, andererseits eine ebenso rasche Rekompensation nach zeitgerechter Entlastungskraniotomie (g). Die wesentliche Hirndrucksenkung und Steigerung der zerebralen Gewebsoxygenierung findet erst nach Eröffnung der Dura statt (h).


Keywords: HemikraniektomieNeurochirurgieSchema
 
 
Therapie
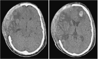
Abbildung 2: Eine begleitende thrombozytenfunktionshemmende medikamentöse Therapie erschwert wesentlich alle möglichen neurochirurgischen Maßnahmen (Entlastungskraniektomie, Hirndrucksondenimplantation) und geht mit einem erheblichen Blutungsrisiko einher. Extradural stellt im Besonderen die große Wundfläche mit diffuser Blutungsneigung an der Innenfläche des Hautlappens ein Problem dar. Subgaleale Hämatome nach osteoklastischer Trepanation wirken sich unmittelbar epidural raumfordernd aus. Saugdrainagen können wegen der bestehenden Duraeröffnung nicht eingesetzt werden. Der Temporalmuskel ist in vielen Fällen diffus blutig imbibiert und raumfordernd geschwollen. Insgesamt kann dadurch der dekompressive Effekt der Operation reduziert werden (a). Intradural ist im Speziellen die Hirnpunktion zur Implantation von Parenchymsonden zur Hirndruckmessung problematisch und kann in seltenen Fällen zu Parenchymblutungen führen (b).


Keywords: CTNeurochirurgieParenchym
 
 
 
copyright © 2000–2026 Krause & Pachernegg GmbH | Sitemap | Datenschutz | Impressum
 
Werbung