Krause und Pachernegg
Verlag für Medizin und Wirtschaft
Artikel   Bilder   Volltext

Mobile Version
A-  |   A  |   A+
Werbung
 
Abbildungen und Graphiken
Hermann J, Horwath-Winter J  
Diagnose und Therapie des Sjögren-Syndroms

Journal für Mineralstoffwechsel & Muskuloskelettale Erkrankungen 2011; 18 (2): 72-76

Volltext (PDF)    Summary    Praxisrelevanz    Abbildungen   


Abbildung
 
Schädigung Auge
Abbildung 1a-b: (a) Schädigung der Hornhaut, sichtbar gemacht durch den Farbstoff Fluoreszein, (b) Schädigung der Bindehaut sichtbar gemacht durch Bengalrosa.


Keywords: BengalrosaBindehautFarbstoff FluoreszeinHornhautMineralstoffwechselSchädigung
 
 
pathologische Speicheldrüsenfunktion
Abbildung 2: Szintigraphisches Bild einer pathologischen Speicheldrüsenfunktion bei Sjögren-Syndrom. Auffallend ist der stark verlangsamte Anstieg der Traceraufnahme von 99mTc-Pertechnetat in die Speicheldrüsen und der schwache und verzögerte Abfluss des Tracers aus den Speicheldrüsen nach einer Reizmahlzeit. (Zur Verfügung gestellt von Univ.-Prof. Dr. R. Lipp, Klinische Abteilung für Nuklearmedizin, Universitätsklinik für Radiologie, Medizinische Universität Graz).


Keywords: Mineralstoffwechselpathologische SpeichelfunktionReizmahlzeitSjögren-SyndromSzintigraphisches BildTraceraufnahme
 
 
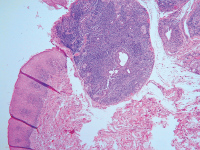
histologisches Bild Sjögren Syndrom
Abbildung 3: Typisches histologisches Bild eines Sjögren-Syndroms mit fokaler lymphoplasmazellulärer Infiltration. (Zur Verfügung gestellt von OA Dr. M. Scarpatetti, Institut für Pathologie, Medizinische Universität Graz).


Keywords: fokale lymphoplasmazelluläre Infiltrationhistologisches BildMineralstoffwechselSjögren-Syndrom
 
 
 
copyright © 2000–2026 Krause & Pachernegg GmbH | Sitemap | Datenschutz | Impressum
 
Werbung