Hermann J, Horwath-Winter J Diagnose und Therapie des Sjögren-Syndroms Journal für Mineralstoffwechsel & Muskuloskelettale Erkrankungen 2011; 18 (2): 72-76 Volltext (PDF) Summary Praxisrelevanz Übersicht | ||||||
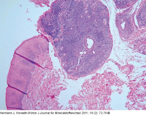
Abbildung 3: histologisches Bild Sjögren Syndrom Typisches histologisches Bild eines Sjögren-Syndroms mit fokaler lymphoplasmazellulärer Infiltration. (Zur Verfügung gestellt von OA Dr. M. Scarpatetti, Institut für Pathologie, Medizinische Universität Graz). |
Abbildung 3: histologisches Bild Sjögren Syndrom
Typisches histologisches Bild eines Sjögren-Syndroms mit fokaler lymphoplasmazellulärer Infiltration. (Zur Verfügung gestellt von OA Dr. M. Scarpatetti, Institut für Pathologie, Medizinische Universität Graz). |
