Verlag für Medizin und Wirtschaft
Artikel
Bilder
Volltext
Mobile Version
A-
|
A
|
A+
Werbung
Abo
Bestellung Jahresabonnement (Print/elektronisch)
Bestellung kostenloses e-Journal-Abo
Mediadaten
Journale
News
Datenbanken
Suche Medizinische Publikationen
Suche Abbildungen und Grafiken
Medizinprodukte - Labortechnik
Antidotarium (Stand 2012)
Phytokodex (Stand 2012)
Endoskopie in Österreich (Stand 2010)
Kardiologie in Österreich (Stand 2006)
Osteologie in Österreich (Stand 2016)
Fortbildung
Bücher
Fachbücher
Patientenliteratur
Impressum
Offenlegung
Kontakt
Disclaimers & Copyright
Allgemeine Geschäftsbedingungen
Datenschutzerklärung
Sitemap
Abbildungen und Graphiken
Fritz E et al.
Mikroskopische Kolitis
Journal für Gastroenterologische und Hepatologische Erkrankungen 2012; 10 (3)
: 31-34
Volltext (PDF)
Summary
Praxisrelevanz
Fragen zum Artikel
Abbildungen
Abbildung
Vollbildansicht
Mikroskopische Kolitiden - Wels
Abbildung 1: Anzahl der diagnostizierten mikroskopischen Kolitiden der Pathologie im Klinikum Wels von 1995–2010.
Keywords:
Colitis
,
Diagramm
,
Wels
Vollbildansicht
Kollagene Kolitis
Abbildung 2: Histologisches Beispiel einer kollagenen Kolitis mit verdicktem subepithelialem Kollagenband (Goldner-Färbung).
Keywords:
Colitis
,
Histologisches Präparat
Vollbildansicht
Lymphozytäre Kolitis
Abbildung 3: Histologisches Beispiel einer lymphozytären Kolitis mit vermehrten intraepithelialen Lymphozyten (HE-Färbung).
Keywords:
Colitis
,
Histologisches Präparat
Vollbildansicht
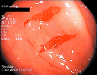
Kollagene Kolitis
Abbildung 4: Schleimhautlängsrisse im Sigma bei kollagener Kolitis im Rahmen der Koloskopie.
Keywords:
Colitis
,
Koloskopie
copyright © 2000–2025
Krause & Pachernegg GmbH
|
Sitemap
|
Datenschutz
|
Impressum
Werbung