Fritz E, Höbling W, Knoflach P Mikroskopische Kolitis Journal für Gastroenterologische und Hepatologische Erkrankungen 2012; 10 (3): 31-34 Volltext (PDF) Summary Praxisrelevanz Fragen zum Artikel Übersicht | ||||||||
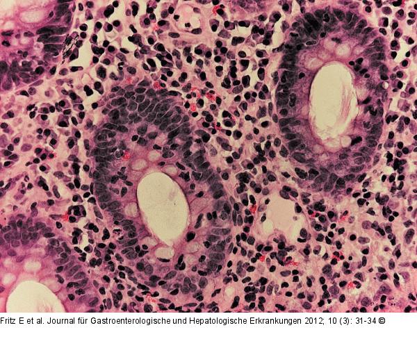
Abbildung 3: Lymphozytäre Kolitis Histologisches Beispiel einer lymphozytären Kolitis mit vermehrten intraepithelialen Lymphozyten (HE-Färbung). |
Abbildung 3: Lymphozytäre Kolitis
Histologisches Beispiel einer lymphozytären Kolitis mit vermehrten intraepithelialen Lymphozyten (HE-Färbung). |
