Petersen EE Urogenitale Beschwerden von der Infektion bis zur Dermatose: Woran muss bei der Untersuchung auch gedacht werden? Journal für Urologie und Urogynäkologie 2008; 15 (3) (Ausgabe für Österreich): 7-15 Journal für Urologie und Urogynäkologie 2008; 15 (3) (Ausgabe für Schweiz): 21-27 Volltext (PDF) Summary Übersicht | ||||||||||||||||
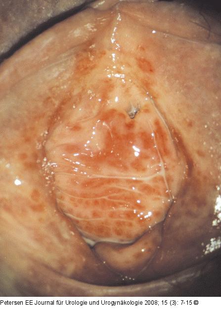
Abbildung 6: Vulvitis - Kolpitis Vulvitis und Kolpitis plasmacellularis, 42 Jahre. |
Abbildung 6: Vulvitis - Kolpitis
Vulvitis und Kolpitis plasmacellularis, 42 Jahre. |
