Glaser F Echokardiographie aktuell: Interatriale Asynchronie Journal für Kardiologie - Austrian Journal of Cardiology 2009; 16 (3-4): 118-121 Volltext (PDF) Übersicht
| ||||||||||||||||||
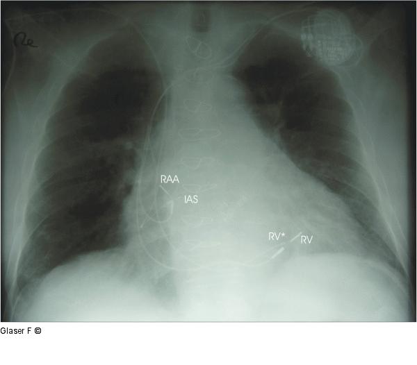
Abbildung 9: PA-Röntgen PA-Röntgen. IAS: Atrial-hochseptal in der Nähe des Bachmann’schen Bündels geschraubte Elektrode. RAA: abisolierte Ankerelektrode im rechten Herzohr, RV: Weiterverwendete rechtsventrikuläre Elektrode, RV*: Chronisch stillgelegte rechtsventrikuläre Elektrode. |
Abbildung 9: PA-Röntgen
PA-Röntgen. IAS: Atrial-hochseptal in der Nähe des Bachmann’schen Bündels geschraubte Elektrode. RAA: abisolierte Ankerelektrode im rechten Herzohr, RV: Weiterverwendete rechtsventrikuläre Elektrode, RV*: Chronisch stillgelegte rechtsventrikuläre Elektrode. |
