Prayer D, Brugger PC Pränatale Magnetresonanztomographie Volltext (PDF) Summary Praxisrelevanz Übersicht | ||||||||||||
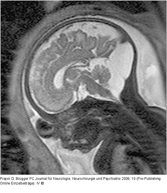
Abbildung 3: Fetus - 33. SSW 33. SSW. In dieser sagittalen Schnittführung erkennt man einen hochstehenden Torculus Herophili, eine große hintere Schädelgrube, die von einer zerebellären Falz durchzogen wird, sowie einen sonst unauffälligen Inhalt der hinteren Schädelgrube, wobei insbesondere kein Hinweis auf eine Gewebekompression besteht. Auch supratentoriell regelrechte Verhältnisse. Die Diagnose lautet daher Megacisterna magna. Neurologische Symptome sind hier nicht zu erwarten. |
Abbildung 3: Fetus - 33. SSW
33. SSW. In dieser sagittalen Schnittführung erkennt man einen hochstehenden Torculus Herophili, eine große hintere Schädelgrube, die von einer zerebellären Falz durchzogen wird, sowie einen sonst unauffälligen Inhalt der hinteren Schädelgrube, wobei insbesondere kein Hinweis auf eine Gewebekompression besteht. Auch supratentoriell regelrechte Verhältnisse. Die Diagnose lautet daher Megacisterna magna. Neurologische Symptome sind hier nicht zu erwarten. |
