Prayer D, Brugger PC Pränatale Magnetresonanztomographie Volltext (PDF) Summary Praxisrelevanz Übersicht | ||||||||||||
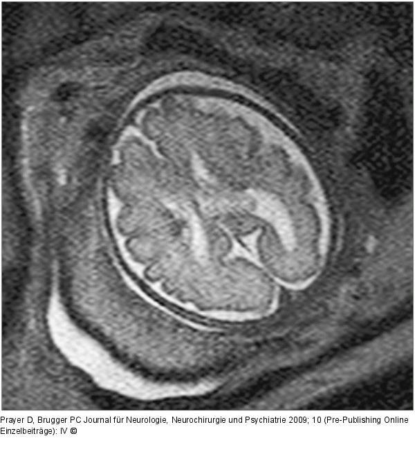
Abbildung 5: Fetus - 30. SSW 30. SSW, axiale Schichtführung. Auf der linken Bildseite zeigen sich, am Rand des Seitenventrikels gelegen, zwei dunkle Knötchen, die subependymalen Riesenzellastrozytomen entsprechen, und für das Vorliegen einer tuberösen Sklerose pathognomonisch sind. |
Abbildung 5: Fetus - 30. SSW
30. SSW, axiale Schichtführung. Auf der linken Bildseite zeigen sich, am Rand des Seitenventrikels gelegen, zwei dunkle Knötchen, die subependymalen Riesenzellastrozytomen entsprechen, und für das Vorliegen einer tuberösen Sklerose pathognomonisch sind. |
