Prayer D, Brugger PC Pränatale Magnetresonanztomographie Volltext (PDF) Summary Praxisrelevanz Übersicht | ||||||||||||
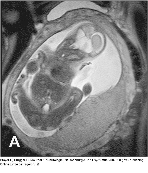
Abbildung 6a-b: Plazenta - 26. SSW A. Normale, homogene und glatt begrenzte Plazenta in der 26. SSW. B. Gleiche SSW, die Plazenta hat jedoch eine pathologisch unruhige Binnenstruktur und eine unregelmäßige Oberfläche. Der Fetus weist eine Wachstumsrestriktion auf. |
Abbildung 6a
Abbildung 6b
Abbildung 6a-b: Plazenta - 26. SSW
A. Normale, homogene und glatt begrenzte Plazenta in der 26. SSW. B. Gleiche SSW, die Plazenta hat jedoch eine pathologisch unruhige Binnenstruktur und eine unregelmäßige Oberfläche. Der Fetus weist eine Wachstumsrestriktion auf. |
