Wessely E Echokardiographie aktuell: Pulmonale Hypertonie Journal für Kardiologie - Austrian Journal of Cardiology 2003; 10 (12): 572-573 Volltext (PDF) Übersicht | ||||||||
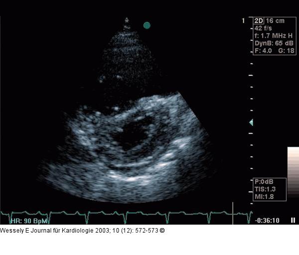
Abbildung 2: Pulmonale Hypertonie Parasternaler Querschnitt: Vergrößerung des rechten Ventrikels mit Septumabplattung und D-Form des Linksventrikelquerschnittes. |
Abbildung 2: Pulmonale Hypertonie
Parasternaler Querschnitt: Vergrößerung des rechten Ventrikels mit Septumabplattung und D-Form des Linksventrikelquerschnittes. |
