Kleemann L Echokardiographie aktuell: Komplizierte Behandlung einer Mitralklappenansatz-Endokarditis bei bestehender Spondylodiscitis Journal für Kardiologie - Austrian Journal of Cardiology 2009; 16 (7-8): 298-300 Volltext (PDF) Übersicht
| ||||||||||||||||
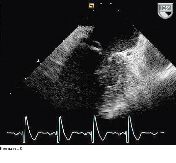
Abbildung 6: Echo TEE 24.09.: endlich zeigt sich die Vegetation rückläufig |
Film starten
Abbildung 6: Echo
TEE 24.09.: endlich zeigt sich die Vegetation rückläufig |
