Grausenburger P Echokardiographie aktuell: Erfolgreiche Behandlung einer Mitralinsuffizienz mit Verapamil Journal für Kardiologie - Austrian Journal of Cardiology 2009; 16 (11-12): 442-444 Volltext (PDF) Übersicht
| ||||||||||||||||
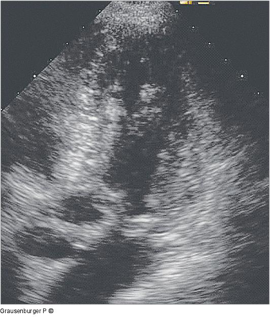
Abbildung 1: Hypertrophe CMP Hypertrophe CMP im apikalen Vierkammerblick, SAM-Phänomen |
Film starten
Abbildung 1: Hypertrophe CMP
Hypertrophe CMP im apikalen Vierkammerblick, SAM-Phänomen |
