Weihs W Echokardiographie aktuell: Kardiale Beteiligung bei Systemerkrankungen - Karzinoid Journal für Kardiologie - Austrian Journal of Cardiology 2010; 17 (5-6): 234-237 Volltext (PDF) Übersicht
| ||||||||||||||||||
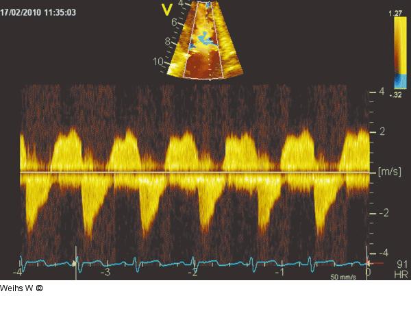
Abbildung 7: Trikuspidalklappe CW-Doppler über der Trikuspidalklappe: Als Hinweis auf die hochgradige Trikuspidalinsuffizienz zeigen sich eine trianguläre Hüllkurve mit einem frühen Peak, ein dichtes Signal sowie eine niedrige Geschwindigkeit (Druckausgleich zwischen rechtem Ventrikel und Vorhof). Der diastolische Fluss lässt eine zumindest geringfügige Stenosierung der Klappe vermuten. |
Abbildung 7: Trikuspidalklappe
CW-Doppler über der Trikuspidalklappe: Als Hinweis auf die hochgradige Trikuspidalinsuffizienz zeigen sich eine trianguläre Hüllkurve mit einem frühen Peak, ein dichtes Signal sowie eine niedrige Geschwindigkeit (Druckausgleich zwischen rechtem Ventrikel und Vorhof). Der diastolische Fluss lässt eine zumindest geringfügige Stenosierung der Klappe vermuten. |
