Weihs W Echokardiographie aktuell: Basis- und erweiterte Evaluierung der systolischen Linksventrikelfunktion nach Myokardinfarkt Journal für Kardiologie - Austrian Journal of Cardiology 2011; 18 (3-4): 102-104 Volltext (PDF) Übersicht
| ||||||||||||||||
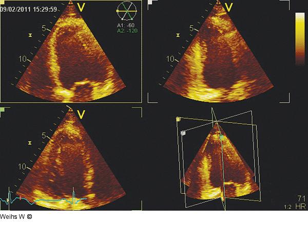
Abbildung 4: Apikale Schnitte Triplane Darstellung der "klassischen" apikalen Schnitte in einem Herzzyklus. Die Infarktausdehnung erstreckt sich über die basalen plus mittleren inferioren bis zu den anterolateralen Segmenten. |
Film starten
Abbildung 4: Apikale Schnitte
Triplane Darstellung der "klassischen" apikalen Schnitte in einem Herzzyklus. Die Infarktausdehnung erstreckt sich über die basalen plus mittleren inferioren bis zu den anterolateralen Segmenten. |
