Weihs W Echokardiographie aktuell: Basis- und erweiterte Evaluierung der systolischen Linksventrikelfunktion nach Myokardinfarkt Journal für Kardiologie - Austrian Journal of Cardiology 2011; 18 (3-4): 102-104 Volltext (PDF) Übersicht
| ||||||||||||||||||
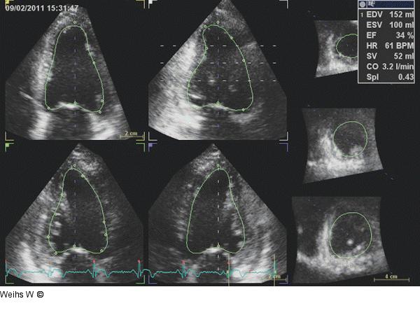
Abbildung 7: Linksventrikuläre Volumina - EF Automatisierte Messung der linksventrikulären Volumina und EF in einer dreidimensionalen Aufzeichnung des linken Ventrikels. Weitere mögliche Parameter sind der "sphericity index", die linksventrikuläre Masse sowie Strain-Analysen. |
Film starten
Abbildung 7: Linksventrikuläre Volumina - EF
Automatisierte Messung der linksventrikulären Volumina und EF in einer dreidimensionalen Aufzeichnung des linken Ventrikels. Weitere mögliche Parameter sind der "sphericity index", die linksventrikuläre Masse sowie Strain-Analysen. |
