Speck O Warum 7-Tesla-1-H-MRT im Gehirn? Journal für Neurologie, Neurochirurgie und Psychiatrie 2012; 13 (2): 90-97 Volltext (PDF) Summary Praxisrelevanz Übersicht | ||||||||||||||||
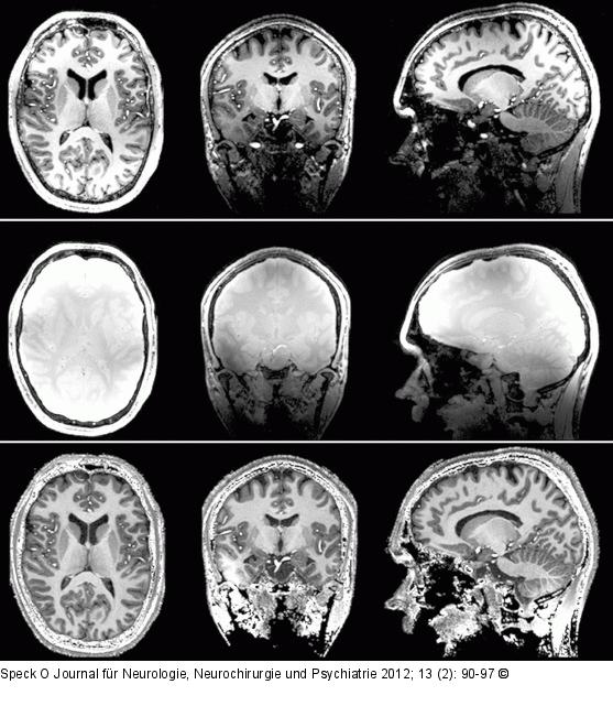
Abbildung 2: MPRAGE Dreidimensionale T1-gewichtete Aufnahme mittels „Magnetization Prepared Rapid Acquisition with Gradient Echoes“ (MPRAGE, wie alle folgenden Abbildungen aufgenommen mit einer 24-Kanal-Kopfspule [Nove Medical]). Durch die hohe Magnetisierung kann eine sehr hohe räumliche Auflösung von 0,6 mm isotrop in 15 Min. erreicht werden. Die nativen Daten (oben, in 3 Orientierungen reformatiert) zeigen jedoch starke Variationen in Signal und T1-Kontrast. Mittels einer Referenzmessung ohne Inversionspuls und kürzerer Wiederholzeit (Mitte) kann durch Division ein homogener kontrast- und detailreicher Datensatz generiert werden (unten). Lediglich im Temporallappen sind Bereiche erkennbar, in welchen die Inversion der Magnetisierung aufgrund zu geringer Kippwinkel nicht vollständig war. |
Abbildung 2: MPRAGE
Dreidimensionale T1-gewichtete Aufnahme mittels „Magnetization Prepared Rapid Acquisition with Gradient Echoes“ (MPRAGE, wie alle folgenden Abbildungen aufgenommen mit einer 24-Kanal-Kopfspule [Nove Medical]). Durch die hohe Magnetisierung kann eine sehr hohe räumliche Auflösung von 0,6 mm isotrop in 15 Min. erreicht werden. Die nativen Daten (oben, in 3 Orientierungen reformatiert) zeigen jedoch starke Variationen in Signal und T1-Kontrast. Mittels einer Referenzmessung ohne Inversionspuls und kürzerer Wiederholzeit (Mitte) kann durch Division ein homogener kontrast- und detailreicher Datensatz generiert werden (unten). Lediglich im Temporallappen sind Bereiche erkennbar, in welchen die Inversion der Magnetisierung aufgrund zu geringer Kippwinkel nicht vollständig war. |
