Schima W, Naber A Aktuelle Bilder: Submuköses Lipom des Magens: Diagnose mittels Hypo-CT Journal für Gastroenterologische und Hepatologische Erkrankungen 2012; 10 (3): 36 Volltext (PDF) Übersicht
| ||||
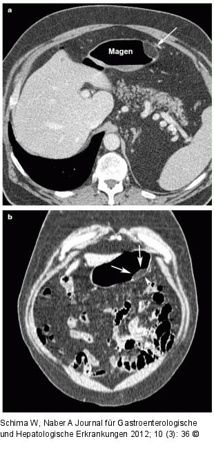
Abbildung 2a-b: Magen - Polypoide Raumforderung (a) Die MDCT zeigt eine polypoide Raumforderung im Magen, die Fett-äquivalente Dichtewerte aufweist (Pfeil). (b) Die 3D-Rekonstruktion in koronaler Ebene zeigt ebenfalls das Lipom (Pfeile) und auch die darunterliegende intakte Magenwand (Pfeilspitze). |
Abbildung 2a-b: Magen - Polypoide Raumforderung
(a) Die MDCT zeigt eine polypoide Raumforderung im Magen, die Fett-äquivalente Dichtewerte aufweist (Pfeil). (b) Die 3D-Rekonstruktion in koronaler Ebene zeigt ebenfalls das Lipom (Pfeile) und auch die darunterliegende intakte Magenwand (Pfeilspitze). |
