Bergler-Klein J, Glaser F, Bartko P, Binder T Echokardiographie: Stellenwert und Anwendungen in der Kardiologie Journal für Kardiologie - Austrian Journal of Cardiology 2013; 20 (3-4): 86-103 Volltext (PDF) Fallbeschreibung Übersicht
| ||||||||||||||||
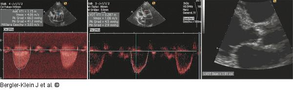
Abbildung 3: Aortenklappenöffnung 73-jährige Patientin: Bestimmung der Aortenklappenöffnung nach der Kontinuitätsgleichung. Diese beruht auf dem Prinzip: Der Fluss im linksventrikulären Ausflusstrakt (LVOT) muss gleich sein wie der Fluss über die Aortenklappe (AK). Die benötigten Variablen sind das Velocity-Time-Integral des LVOT (PW-Doppler) und der Aortenklappe (CW-Doppler), sowie der Durchmesser des LVOT. Die Aortenklappenöffnungsfläche (KÖF) errechnet sich aus der Formel: KÖF = (LVOT Diameter2 × 0,785 × LVOT VTI)/ Aortenklappen VTI. Es liegt mit einer Vmax des AK-Jets von 44,06 m/s und einer errechneten KÖF von 0,74 cm2 eine wirksame Aortenklappenstenose vor. |
Abbildung 3: Aortenklappenöffnung
73-jährige Patientin: Bestimmung der Aortenklappenöffnung nach der Kontinuitätsgleichung. Diese beruht auf dem Prinzip: Der Fluss im linksventrikulären Ausflusstrakt (LVOT) muss gleich sein wie der Fluss über die Aortenklappe (AK). Die benötigten Variablen sind das Velocity-Time-Integral des LVOT (PW-Doppler) und der Aortenklappe (CW-Doppler), sowie der Durchmesser des LVOT. Die Aortenklappenöffnungsfläche (KÖF) errechnet sich aus der Formel: KÖF = (LVOT Diameter2 × 0,785 × LVOT VTI)/ Aortenklappen VTI. Es liegt mit einer Vmax des AK-Jets von 44,06 m/s und einer errechneten KÖF von 0,74 cm2 eine wirksame Aortenklappenstenose vor. |
