Bergler-Klein J, Glaser F, Bartko P, Binder T Echokardiographie: Stellenwert und Anwendungen in der Kardiologie Journal für Kardiologie - Austrian Journal of Cardiology 2013; 20 (3-4): 86-103 Volltext (PDF) Fallbeschreibung Übersicht
| ||||||||||||||||||
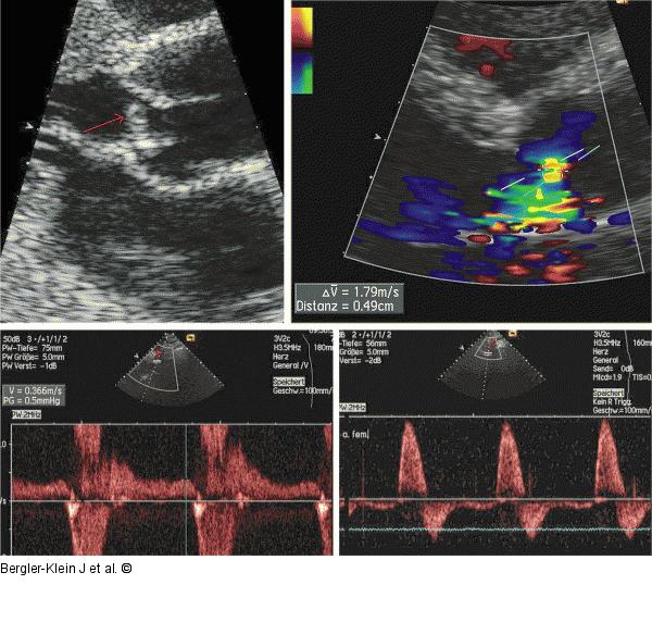
Abbildung 5: Aorteninsuffizienz Beispiele für die echokardiographische Untersuchung bei Aorteninsuffizienz: Prolaps des akoronaren Segels, Messung der Vena contracta des – in diesem Fall exzentrischen – Aorteninsuffizienzjets. Diastolische Flussumkehr in der Aorta descendens mit enddiastolischer Geschwindigkeit 0,33 m/sec. Holodiastolischer Reflux in der Arteria iliaca. |
Film 1 starten Film 2 starten
Abbildung 5: Aorteninsuffizienz
Beispiele für die echokardiographische Untersuchung bei Aorteninsuffizienz: Prolaps des akoronaren Segels, Messung der Vena contracta des – in diesem Fall exzentrischen – Aorteninsuffizienzjets. Diastolische Flussumkehr in der Aorta descendens mit enddiastolischer Geschwindigkeit 0,33 m/sec. Holodiastolischer Reflux in der Arteria iliaca. |
