Schima W Aktuelle Bilder: Symptomatische Stenose der A. mesenterica superior und Behandlung mittels Stent-Implantation Journal für Gastroenterologische und Hepatologische Erkrankungen 2013; 11 (2): 29-30 Volltext (PDF) Übersicht
| ||||||||||
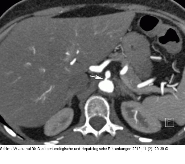
Abbildung 1a: MDCT-Angiographie Die MDCT-Angiographie in axialer Schichtführung zeigte eine kurzstreckige, hochgradige exzentrische Abgangsstenose de A. mes. sup. (Pfeil). |
Abbildung 1a: MDCT-Angiographie
Die MDCT-Angiographie in axialer Schichtführung zeigte eine kurzstreckige, hochgradige exzentrische Abgangsstenose de A. mes. sup. (Pfeil). |
