Schima W Aktuelle Bilder: Symptomatische Stenose der A. mesenterica superior und Behandlung mittels Stent-Implantation Journal für Gastroenterologische und Hepatologische Erkrankungen 2013; 11 (2): 29-30 Volltext (PDF) Übersicht
| ||||||||||
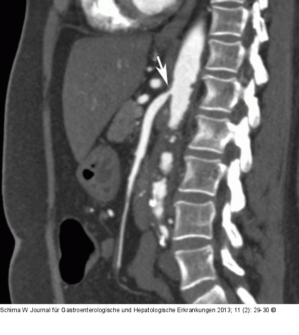
Abbildung 1b: CT Die 3D-Rekonstruktion der CT in sagittaler Ebene zeigte ebenfalls anschaulich die Abgangsstenose (Pfeil) sowie den normalkalibrigen Truncus coelicus. |
Abbildung 1b: CT
Die 3D-Rekonstruktion der CT in sagittaler Ebene zeigte ebenfalls anschaulich die Abgangsstenose (Pfeil) sowie den normalkalibrigen Truncus coelicus. |
