Schima W Aktuelle Bilder: Symptomatische Stenose der A. mesenterica superior und Behandlung mittels Stent-Implantation Journal für Gastroenterologische und Hepatologische Erkrankungen 2013; 11 (2): 29-30 Volltext (PDF) Übersicht
| ||||||||||
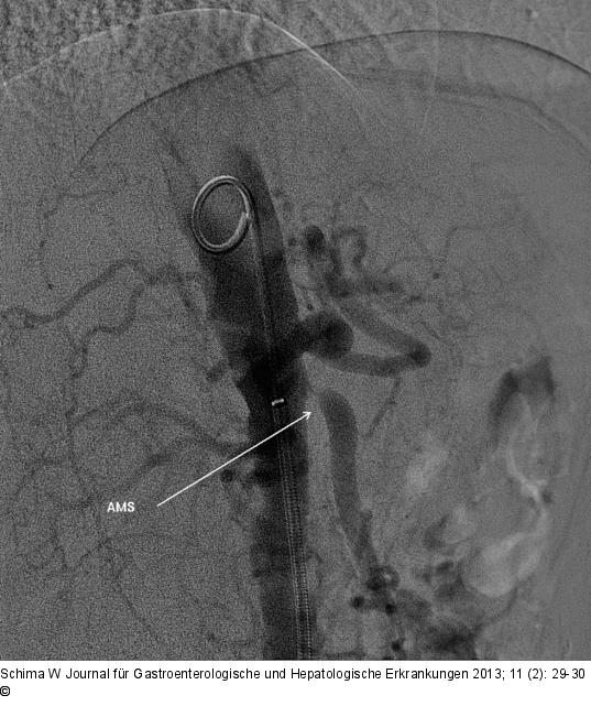
Abbildung 2a: Abgangsstenose Die Angiographie zeigt eine hochgradige Abgangsstenose der A. mes. sup. |
Abbildung 2a: Abgangsstenose
Die Angiographie zeigt eine hochgradige Abgangsstenose der A. mes. sup. |
