Prosch H Die Radiologie der kleinen Atemwege bei COPD Journal für Pneumologie 2013; 1 (1): 15-18 Volltext (PDF) Summary Übersicht | ||||||||
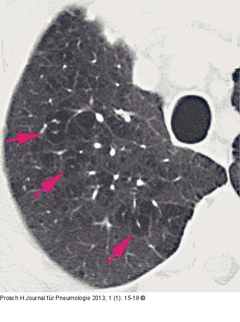
Abbildung 1: Computertomographie-COPD Zentrilobuläres Emphysem bei einem 53 Jahre alten Patienten. Das Lungenemphysem ist durch fokale Areale mit verminderter Lungendichte gekennzeichnet (Pfeile). |
Abbildung 1: Computertomographie-COPD
Zentrilobuläres Emphysem bei einem 53 Jahre alten Patienten. Das Lungenemphysem ist durch fokale Areale mit verminderter Lungendichte gekennzeichnet (Pfeile). |
