Prosch H Die Radiologie der kleinen Atemwege bei COPD Journal für Pneumologie 2013; 1 (1): 15-18 Volltext (PDF) Summary Übersicht | ||||||||
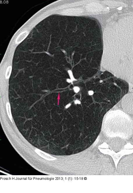
Abbildung 3: Computertomographie-COPD Ektatisch erweiterte Bronchien des Unterlappens als Ausdruck einer Bronchopathie bei einer Patientin mit COPD |
Abbildung 3: Computertomographie-COPD
Ektatisch erweiterte Bronchien des Unterlappens als Ausdruck einer Bronchopathie bei einer Patientin mit COPD |
