Brezinka C Tipps und Tricks im Gyn-Ultraschall: Die Sectionarbe am nichtschwangeren Uterus und in der Frühschwangerschaft Journal für Gynäkologische Endokrinologie 2014; 8 (2) (Ausgabe für Österreich): 22-24 Journal für Gynäkologische Endokrinologie 2014; 8 (2) (Ausgabe für Schweiz): 24-26 Volltext (PDF) Übersicht | ||||||||||||||||||
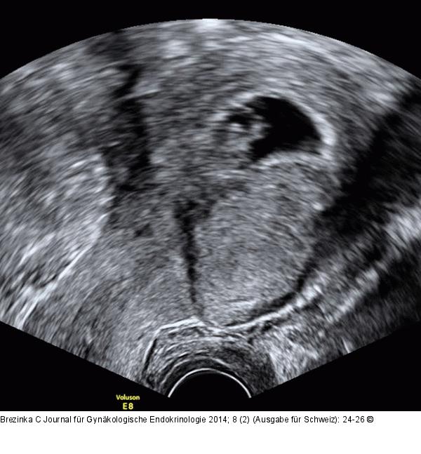
Abbildung 7: Gyn-Ultraschall Kurze Distanz zwischen Sectionarbe und Fruchtsack. |
Abbildung 7: Gyn-Ultraschall
Kurze Distanz zwischen Sectionarbe und Fruchtsack. |
