Winking M Die rheumatische Wirbelsäule Journal für Neurologie, Neurochirurgie und Psychiatrie 2014; 15 (2): 82-88 Volltext (PDF) Summary Praxisrelevanz Übersicht | ||||||||||||||||||
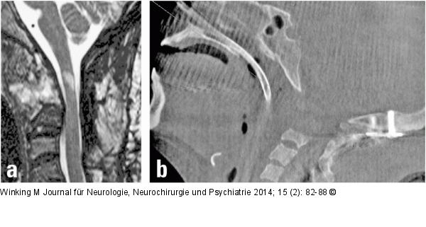
Abbildung 10a-b: Rheumatische Wirbelsäule (a) Sagittales T2-MRT nach okzipito-zervikaler Stabilisierung und transoraler Densresektion. Im Myelon erkennbare strukturelle Schädigung durch die ursprüngliche Kompression. (b) Intraoperative 3-D-Darstellung des kranio-zervikalen Überganges nach transoraler Densresektion. |
Abbildung 10a-b: Rheumatische Wirbelsäule
(a) Sagittales T2-MRT nach okzipito-zervikaler Stabilisierung und transoraler Densresektion. Im Myelon erkennbare strukturelle Schädigung durch die ursprüngliche Kompression. (b) Intraoperative 3-D-Darstellung des kranio-zervikalen Überganges nach transoraler Densresektion. |
