Krause und Pachernegg
Verlag für Medizin und Wirtschaft
Artikel   Bilder   Volltext

Mobile Version
A-  |   A  |   A+
Werbung
 
Abbildungen und Graphiken
Winking M  
Die rheumatische Wirbelsäule

Journal für Neurologie, Neurochirurgie und Psychiatrie 2014; 15 (2): 82-88

Volltext (PDF)    Summary    Praxisrelevanz    Abbildungen   


Abbildung
 
Rheumatische Wirbelsäule
Abbildung 1: Sagittales Computertomogramm mit Darstellung einer atlanto-axialen Instabilität und signifikanter Einengung des Zervikalkanals in Höhe von HWK 1/2.


Keywords: atlanto-axiale InstabilitätComputertomogrammCTEinengung des Zervikalkanals
 
 
Rheumatische Wirbelsäule
Abbildung 2: Sagittales T2-MRT mit Vertikalluxation des Dens.


Keywords: DensMRTVertikalluxation
 
 
Rheumatische Wirbelsäule
Abbildung 3: Seitliche Röntgenverlaufskontrolle einer subaxialen Subluxation nach 2-jährigem Verlauf. Zunehmendes Treppenstufenphänomen der Segmente HW 3/4 und 4/5. Zustand nach transartikulärer Verschraubung von HWK 1/2 4 Jahre zuvor.


Keywords: Röntgensubaxialen Subluxationtransartikulärer VerschraubungTreppenstufenphänomenVerlaufskontrolle
 
 
Rheumatische Wirbelsäule
Abbildung 4: Sagittales T2-MRT einer rheumatisch bedingten kyphotischen Fehlstellung der subaxialen HWS.


Keywords: kyphotische FehlstellungMRTsubaxiale HWS
 
 
Rheumatische Wirbelsäule
Abbildung 5: Seitliche Funktionsaufnahmen einer atlanto-axialen Instabilität. Die Hilfslinien zeigen die Veränderung des atlanto-dentalen Intervalls in Flexions- und Extensionsstellung.


Keywords: atlanto-axiale InstabilitätExtensionsstellungFlexionsstellungFunktionsaufnahmeHWS
 
 
Rheumatische Wirbelsäule
Abbildung 6: Röntgenaufnahmen nach transartikulärer Verschraubung von HWK 1 und 2 mit zusätzlicher Beckenkammspaninterposition, die mit einer Titan-Kabelcerclage gesichert wurde.


Keywords: BeckenkammspaninterpositionHWSRöntgenTitan-Kabelcerclagetransartikuläre Verschraubung
 
 
Rheumatische Wirbelsäule
Abbildung 7: Röntgenaufnahmen im anterior-posterioren und seitlichen Strahlengang nach dorsaler Verschraubung von HWK 1 mit 2 durch Schrauben-Stab-System und Beckenkammspaninterposition mit Titan-Kabelcerclage gesichert.


Keywords: dorsale VerschraubungHWSRöntgenSchrauben-Stab-SystemTitan-Kabelcerclage
 
 
Rheumatische Wirbelsäule
Abbildung 8: Röntgenaufnahmen nach okzipito-zervikaler Stabilisierung durch ein Schrauben-Stab-System und Beckenkammspaninterposition mit Titan-Kabelcerclage gesichert.


Keywords: BeckenkammspaninterpositionHWSokzipito-zervikale StabilisierungRöntgenTitan-Kabelcerclage
 
 
Rheumatische Wirbelsäule
Abbildung 9: Seitliche Röntgenaufnahmen nach ventraler Spondylektomie und kombinierter ventrodorsaler Stabilisierung durch distrahierbaren Titankorb mit dorsalem Schrauben-Stab-System.


Keywords: distrahierbarer TitankorbHWSRöntgenSchrauben-Stab-Systemventrale Spondylektomieventrodorsale Stabilisierung
 
 
Rheumatische Wirbelsäule
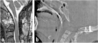
Abbildung 10a-b: (a) Sagittales T2-MRT nach okzipito-zervikaler Stabilisierung und transoraler Densresektion. Im Myelon erkennbare strukturelle Schädigung durch die ursprüngliche Kompression. (b) Intraoperative 3-D-Darstellung des kranio-zervikalen Überganges nach transoraler Densresektion.


Keywords: intraoperative 3-D-DarstellungMRTMyelonokzipito-zervikale Stabilisierungtransorale Densresektion
 
 
 
copyright © 2000–2026 Krause & Pachernegg GmbH | Sitemap | Datenschutz | Impressum
 
Werbung