Kammler J, Blessberger H EKG-Beispiel: Zwei ähnliche Fälle - gänzlich unterschiedlich: Passagere ST-Streckenhebung bei Ergometrie Journal für Kardiologie - Austrian Journal of Cardiology 2015; 22 (7-8): 184-189 Volltext (PDF) Übersicht
| ||||||||||||||||||
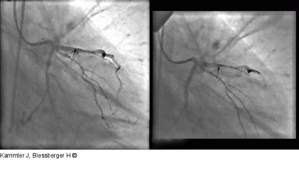
Abbildung 10: Angiogramm Angiogramm des Patienten 2: Stenose des Ramus obliquus vor (a) und nach (b) Intervention |
Film starten
Abbildung 10: Angiogramm
Angiogramm des Patienten 2: Stenose des Ramus obliquus vor (a) und nach (b) Intervention |
