Kammler J, Blessberger H EKG-Beispiel: Zwei ähnliche Fälle - gänzlich unterschiedlich: Passagere ST-Streckenhebung bei Ergometrie Journal für Kardiologie - Austrian Journal of Cardiology 2015; 22 (7-8): 184-189 Volltext (PDF) Übersicht
| ||||||||||||||||||
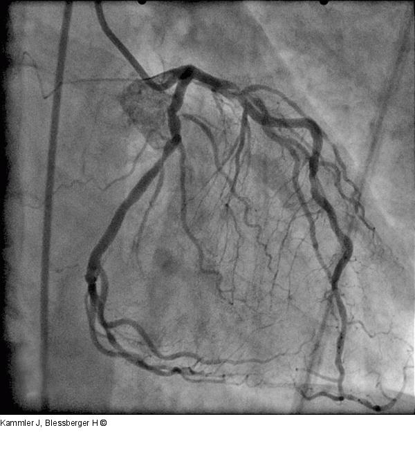
Abbildung 11: Angiogramm Angiogramm des Patienten 2: Visuell grenzwertige Lumeneinengung in der Mitte des Ramus circumflexus mit negativer FFR (0,96) |
Abbildung 11: Angiogramm
Angiogramm des Patienten 2: Visuell grenzwertige Lumeneinengung in der Mitte des Ramus circumflexus mit negativer FFR (0,96) |
