Schima W, Aiginger C Aktuelle Bilder: Gedeckt perforierte Sigmadivertikulitis mit multiplen pylephlebitischen Leberabszessen Journal für Gastroenterologische und Hepatologische Erkrankungen 2015; 13 (2): 18-19 Volltext (PDF) Übersicht
| ||||||||||||||||
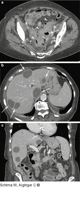
Abbildung 2a-c: MDCT - Leber (a) Die Kontrastmittel-verstärkte MDCT zeigt eine Divertikulitis (Pfeilspitzen) mit einem perikolischen Abszess (Pfeil). (b) Die CT-Schichten durch den Oberbauch zeigen multiple abszessverdächtige zystische Raumforderungen in beiden Leberlappen (Pfeile). (c) In der 3D-Rekonstruktion in koronaler Ebene ist die Pfortader offen (Pfeil), multiple Abszesse sind dargestellt. |
Abbildung 2a-c: MDCT - Leber
(a) Die Kontrastmittel-verstärkte MDCT zeigt eine Divertikulitis (Pfeilspitzen) mit einem perikolischen Abszess (Pfeil). (b) Die CT-Schichten durch den Oberbauch zeigen multiple abszessverdächtige zystische Raumforderungen in beiden Leberlappen (Pfeile). (c) In der 3D-Rekonstruktion in koronaler Ebene ist die Pfortader offen (Pfeil), multiple Abszesse sind dargestellt. |
