Schima W, Aiginger C Aktuelle Bilder: Gedeckt perforierte Sigmadivertikulitis mit multiplen pylephlebitischen Leberabszessen Journal für Gastroenterologische und Hepatologische Erkrankungen 2015; 13 (2): 18-19 Volltext (PDF) Übersicht
| ||||||||||||||||
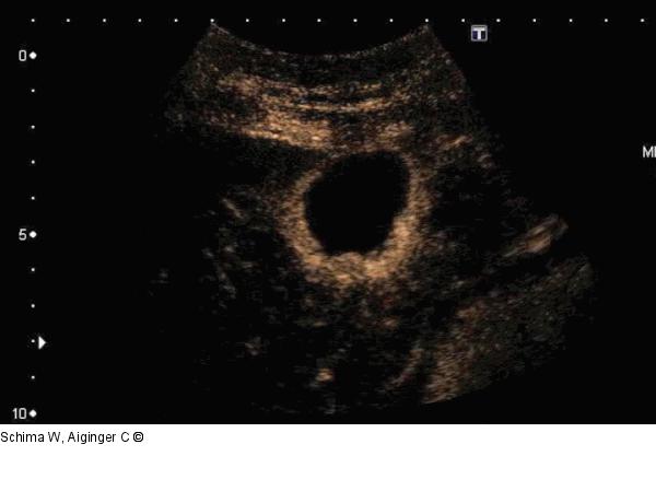
Abbildung 6: Film 2 Kontrastmittelsonographie: Abszessformation in der Leber mit rascher (früharterieller) Kontrastmittelaufnahme in den entzündlichen Randgebieten der Raumforderungen. |
Film starten
Abbildung 6: Film 2
Kontrastmittelsonographie: Abszessformation in der Leber mit rascher (früharterieller) Kontrastmittelaufnahme in den entzündlichen Randgebieten der Raumforderungen. |
