Schima W, Aiginger C Aktuelle Bilder: Gedeckt perforierte Sigmadivertikulitis mit multiplen pylephlebitischen Leberabszessen Journal für Gastroenterologische und Hepatologische Erkrankungen 2015; 13 (2): 18-19 Volltext (PDF) Übersicht
| ||||||||||||||||
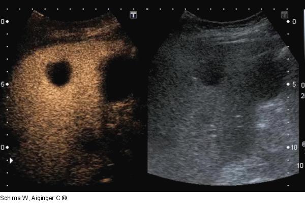
Abbildung 7: Film 3 Kontrastmittelsonographie der Leber im Dualbildmodus (rechts: CEUS; links: normale B-Bild-Sonographie): Die Abszesse zeigen keinen Kontrastmittel- Wash-in oder -Wash-out im Zentrum. |
Film starten
Abbildung 7: Film 3
Kontrastmittelsonographie der Leber im Dualbildmodus (rechts: CEUS; links: normale B-Bild-Sonographie): Die Abszesse zeigen keinen Kontrastmittel- Wash-in oder -Wash-out im Zentrum. |
