Weihs W, Harb S Echokardiographie aktuell: Prothesenendokarditis – ein konservativer Therapieversuch Journal für Kardiologie - Austrian Journal of Cardiology 2016; 23 (7-8): 198-200 Volltext (PDF) Übersicht
| ||||||||||||
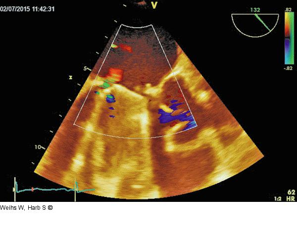
Abbildung 2: Mitralklappenprothese - Regurgitation Paravalvuläres Leak mit geringfügiger Regurgitation. |
Film starten
Abbildung 2: Mitralklappenprothese - Regurgitation
Paravalvuläres Leak mit geringfügiger Regurgitation. |
