Weihs W, Harb S Echokardiographie aktuell: Prothesenendokarditis – ein konservativer Therapieversuch Journal für Kardiologie - Austrian Journal of Cardiology 2016; 23 (7-8): 198-200 Volltext (PDF) Übersicht
| ||||||||||||
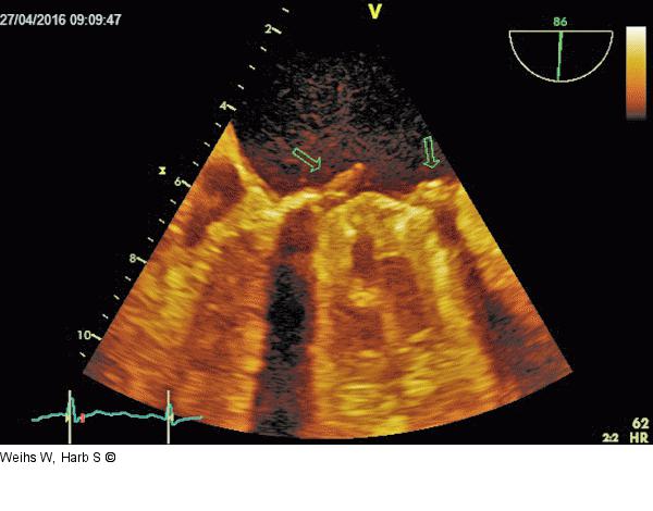
Abbildung 5: TEE Rezidivendokarditis mit Vegetationen an der Mitralklappenprothese. |
Film starten
Abbildung 5: TEE
Rezidivendokarditis mit Vegetationen an der Mitralklappenprothese. |
