Weihs W Echokardiographie aktuell: Rechtsatrialer Thrombus nach Implantation eines Port-a-Cath Journal für Kardiologie - Austrian Journal of Cardiology 2019; 26 (11-12): 336-337 Volltext (PDF) Übersicht
| ||||||||||
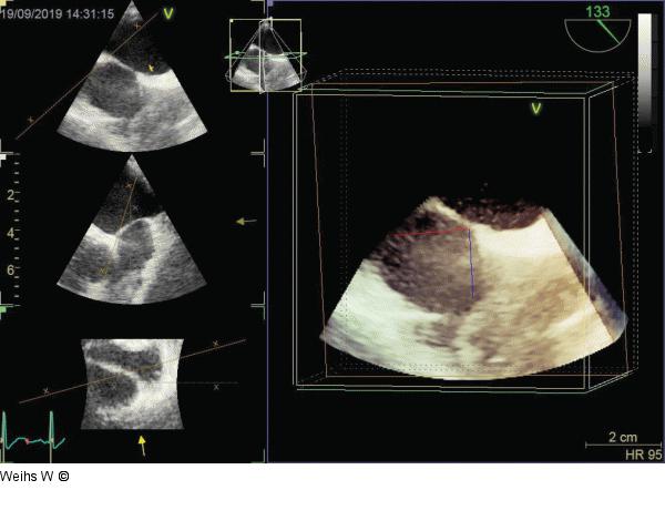
Abbildung 5: Raumforderung Transthorakale Echokardiographie mit dreidimensionaler Rekonstruktion der Raumforderung an der Spitze des Port- A-Cath. |
Abbildung 5: Raumforderung
Transthorakale Echokardiographie mit dreidimensionaler Rekonstruktion der Raumforderung an der Spitze des Port- A-Cath. |
