Obitz F, Jans P, Tahsim Oglou Y, Marquardt M, Keyvani K, Ebner FH Fallbericht: Es ist nicht immer so, wie es scheint: Intrakranielle Manifestation der Erdheim-Chester- Erkrankung (ECD) // Case Report: Erdheim-Chester disease Journal für Neurologie, Neurochirurgie und Psychiatrie 2020; 21 (2): 72-73 Volltext (PDF) Summary Übersicht | ||||||
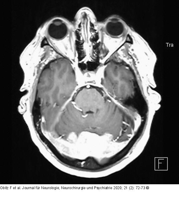
Abbildung 1: Okzipitale Tumormasse Präoperatives cMRT axial, das okzipitale Tumormasse zeigt. |
Abbildung 1: Okzipitale Tumormasse
Präoperatives cMRT axial, das okzipitale Tumormasse zeigt. |
