Altersberger M, Schoiswohl S, Genger M Echokardiographie aktuell: Persistente Dyspnoe nach COVID-19 – POCUS leads the way - Ultraschall zur Differentialdiagnose Journal für Kardiologie - Austrian Journal of Cardiology 2021; 28 (11-12): 396-398 Volltext (PDF) Übersicht
| ||||||||||
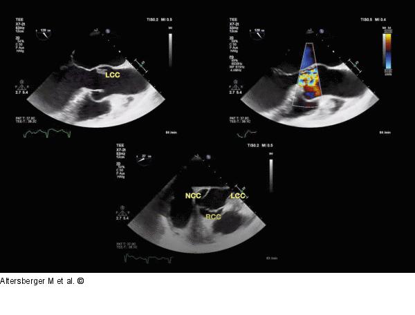
Abbildung 4: TEE - LCC TEE-Studie mit Beschriftung der anatomischen Strukturen der Aortenklappe in der kurzen und der langen Achse midösophageal eingestellt. Das LCC hierbei rupturiert. |
Film starten
Abbildung 4: TEE - LCC
TEE-Studie mit Beschriftung der anatomischen Strukturen der Aortenklappe in der kurzen und der langen Achse midösophageal eingestellt. Das LCC hierbei rupturiert. |
