Schachner T Die koronare Bypassoperation – Indikationen, Risikoabwägung, neue Techniken und Nachsorge // Coronary bypass surgery – Indications, risks, new techniques and postoperative care Journal für Kardiologie - Austrian Journal of Cardiology 2022; 29 (9-10): 254-256 Volltext (PDF) Summary Übersicht | ||||
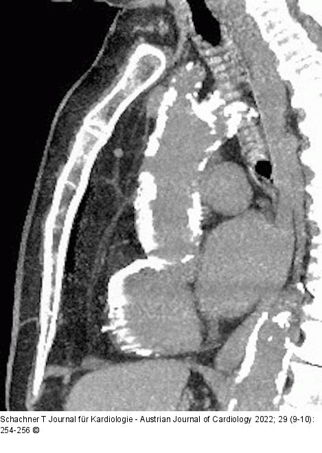
Abbildung 2: Aorta Schwerste Verkalkung der gesamten Aorta bei Patientin mit komplexer koronarer Dreigefäßerkrankung. |
Abbildung 2: Aorta
Schwerste Verkalkung der gesamten Aorta bei Patientin mit komplexer koronarer Dreigefäßerkrankung. |
