Petr O, Geiger P State of the art: Schädel-Hirn-Trauma // Traumatic Brain Injury – state of the art Journal für Neurologie, Neurochirurgie und Psychiatrie 2023; 24 (4): 113-120 Volltext (PDF) Summary Übersicht | ||||
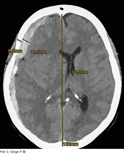
Abbildung 1: Akutes Subduralhämatom Akutes Subduralhämatom (aSDH) bei einer Patientin nach behelmtem Fahrradsturz. Hämatomdicke von fast doppelter Breite der Schädelkalotte und mehr als 1 cm Mittellinienshift. |
Abbildung 1: Akutes Subduralhämatom
Akutes Subduralhämatom (aSDH) bei einer Patientin nach behelmtem Fahrradsturz. Hämatomdicke von fast doppelter Breite der Schädelkalotte und mehr als 1 cm Mittellinienshift. |
