Saleh KA, Steinwender C Aktuelles: Fallbericht: Junger Patient mit dem EV-ICD Aurora™ von Medtronic Journal für Kardiologie - Austrian Journal of Cardiology 2024; 31 (11-12): 300-302 Volltext (PDF) Übersicht | ||||
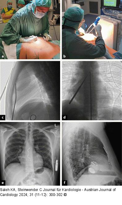
Abbildung 1: Dissektion (a): Blunt Finger Dissection; (b–d): Schrittweise Tunnelierung unter lateraler Fluoroskopie – Bestätigung der Orientierung in ap; (e, f): Thoraxröntgen ap + seitlich |
Abbildung 1: Dissektion
(a): Blunt Finger Dissection; (b–d): Schrittweise Tunnelierung unter lateraler Fluoroskopie – Bestätigung der Orientierung in ap; (e, f): Thoraxröntgen ap + seitlich |
