Bergmann M Pleuraerguss – diagnostische Abklärung und therapeutische Möglichkeiten // Pleural fluid – diagnostic assessment and therapeutic options Journal für Pneumologie 2024; 12 (2): 17-22 Volltext (PDF) Summary Übersicht | ||||||||||||||||
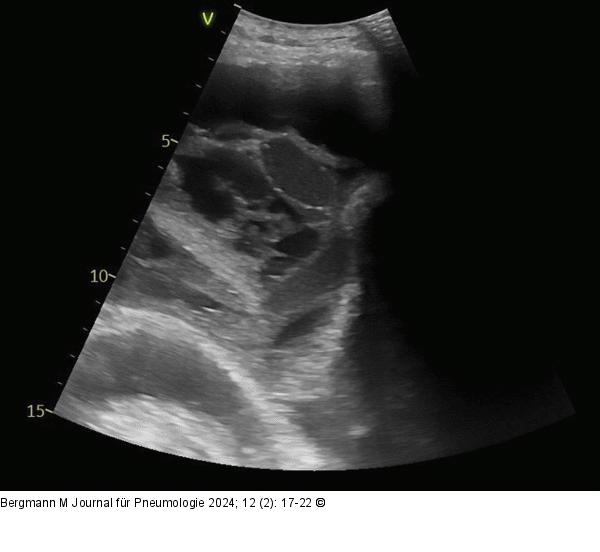
Abbildung 2: Septierter Erguss Septierter Erguss im Ultraschall |
